Kurzbeschreibung:
Die chronische Eosinophilenleukämie (CEL) gehört zum Formenkreis der chronischen myeloproliferativen Neoplasien. Zugrunde liegt eine autonome, klonale Proliferation der eosinophilen Vorstufen. Es kommt zur Eosinophilenvermehrung im Blut, Knochenmark und zum Teil in peripheren Organen. Gelegentlich wird ein myeloproliferatives Syndrom vermutet, ohne dass die Klonalität oder eine Blastenvermehrung nachgewiesen werden kann. In diesm Fall wird die Krankheit den hypereosinophilen Syndromen (HES) zugeordnet. Falls ein BCR-ABL-Fusionsgen nachgewiesen werden kann, handelt es sich um eine chronische myeloische Leukämie.
Klinisches Bild:
Durch Organinfiltration oder durch freigesetzte Substanzen (Zytokine, Enzyme, andere Proteine) kann es zu Organschäden kommen. Gefürchtet sind vor allem die Kardiomyopathie mit Schädigung der Herzklappen, was gelegentlich rasch ein lebensbedrohliches Ausmass annehmen kann. Es kann nicht vorausgesagt werden, wann eine Organschädigung eintritt und wan eine solche ausbleibt.
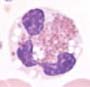
Hämatologie:

Die eosinophilen Granulozyten im Blut sind meist deutlich erhöht. Per Definition betragen sie mindestens 1.5 x109/L. Die Zellen sind meist zytologisch unauffällig. Blasten können vorkommen, betragen aber <20%.
Knochenmark:
Die eosinophilen Granulozyten und eosinophilen Vorstufen sind vermehrt und zeigen meist keine morphologischen Auffälligkeiten. Blasten können vorkommen und betragen <20%.
Diagnose:
Gemäss WHO 2008 kann eine CEL diagnostiziert werden, wenn die eosinophilen Granulozyten im Blut >1.5 x 109/L betragen und die Klonalität der Eosinophilen nachgewiesen werden kann oder eine Blastenvermehrung vorliegt (>2% im Blut, >5% im Knochenmark). Die Blasten in Blut oder Knochenmark dürfen aber 20% nicht übersteigen. Eine Polyzythämie vera, essentielle Thrombozythämie, Myelofibrose, chronische myelomonozytäre Leukämie oder atypische CML müssen ausgeschlossen sein. Eine Inversion (16), ein BCR-ABL-Fusionsgen oder Rearrangements von PDGFRalpha, PDGFRbeta oder FGFR1 dürfen nicht vorliegen.
Myeloische und lymphatische Neoplasien mit Eosinophilie und Nachweis eines Rearrangements von PDGFRalpha, PDGFRbeta oder FGF1 werden in der WHO 2008-Klassifikation einer eigene Kategorie der myeloischen Neoplasien zugeordnet. Man spricht von "myeloisch/lymphatischen Neoplasien mit Eosinophilie und Aberrationen von PDGFRalpha, PDGFRbeta oder FGFR1". Formal handelt es sich aber mehrheitlich um das Bild einer chronischen eosinophilen Leukämie. Die häufigste Form aus dieser Gruppe wird durch ein FIP1L1-PDGFRalpha-Fusionsgen verursacht und kann mittels PCR oder FISH nachgewiesen werden. Krankheiten mit rearrangiertem PDGFRalpha oder PDGFRbeta sind von Interesse, da sie hervorragend auf den Tyrosinkinase-Hemmer Imatinib (Glivec) ansprechen.