Definition:
Im Prinzip durchlaufen die Eosinophilen dieselben Stadien wie die Neutrophilen. Als Eosinophile sind sie jedoch erst erkennbar, wenn die spezifischen, d.h. eosinophilen Granula auftreten. Dies ist erst ab Stufe Myelozyt der Fall. Da auch die Kernreifung nicht gleich verläuft, unterscheidet man im Knochenmark nur unreife von reifen Eosinophilen. Sie machen rund 0.1-3% der kernhaltigen Knochenmarkzellen aus (Myelogramm).
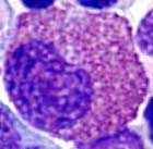
Aussehen:

Die unreifen Eosinophilen besitzen noch einen runden bis ovalen Kern. Die Granula sind relativ grob, gleichmässig verteilt. Sie ändern im Laufe der Reifung ihre Farbe von bläulich zu bräunlich-orange bis orange. Das Zytoplasma scheint bläulich zwischen den Granula hindurch.