Definition:
Die Myelozyten sind in der Granulopoiese zwischen den Promyelozyten und den Metamyelozyten gelegen. Sie machen rund 5-20% der kernhaltigen Zellen im Knochenmark aus (Myelogramm).
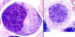
Aussehen:

Die Myelozyten sind mit 15-20µm wieder kleiner als die Promyelozyten. Ihr Kern ist rund bis oval, z.T. seitlich leicht eingedrückt. Nukleolen sind nicht mehr oder höchstens angedeutet sichtbar. Das Zytoplasma bewegt sich von bläulich (junge Formen, linkes Bild) über ein "schmutziges" blasses Blau zu blassrosa (rechtes Bild). Die roten Azurgranula sind z.T. noch vereinzelt vorhanden und werden zunehmend durch die neutrophile Sekundärgranula (auch spezifische Granula genannt) ersetzt.