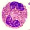
Aussehen:

Eosinophile Granulozyten sind rund und mit einem Durchmesser von 16 µm etwas grösser als die neutrophilen Granulozyten. Die Granula sind grob, leuchtend rot bis honiggelb und sehr dicht gepackt. Der Kern ist meist zweilappig.
Referenzbereich:
Mit Refernzwerten zwischen 0.02 und 0.4 x 109/L sind sie im Blutausstrich eher selten anzutreffen. Eine Erhöhung der Eosinophilenzahl wird als Eosinophilie bezeichnet, eine Verminderung als Eosinopenie.
Funktion:
Die eosinophilen Granulozyten spielen eine wichtige Rolle bei allergischen Erkrankungen sowie bei Infektionen mit Parasiten. Wie die neutrophilen Granulozyten sind sie zur Migration befähigt. Mittels Degranulation wird der Inhalt der eosinophilen Granula (Peroxidase, Leukotriene, Platelet activatin factor, Zytokine) freigesetzt, was die Bekämpfung grösserer Organismen wie Parasiten ermöglicht. Diese Eigenschaft gibt den Eosinophilen auch die Fähigkeit, immunmodulatorisch zu wirken.
Klinische Bedeutung:
Einer Eosinophilie liegen meist allergische oder parasitäre Erkrankungen zugrunde. Viele Medikamente können ebenfalls eine Eosinophilie verursachen. Neoplasitsiche Erkrankungen (z.B. Morbus Hodgkin) sind gelegentlich von einer Eosinophilie begleitet. Bei persistierenden Werten von > 1.5 x 109/L, deren Ursache nicht eruierbar ist, spricht man von einem sogenannten idiopathischen hypereosinophilen Syndrom (HES).
Eine Eosinopenie ist häufig im Rahmen von Stresssituationen und schweren Infektionen zu beobachten. Das Wiederauftreten der Eosinophilen wurde früher als wichtiges Zeichen der Erholung von einer infektiösen Erkrankung gewertet.