Kurzbeschreibung:
Die Polyzythämia vera ist eine Krankheit der hämatopoietischen Stammzelle, gehört zu den myeloproliferativen Neoplasien (MPN) und ist charakterisiert durch eine Erhöhung der Hämoglobinkonzentration und des Hämatokrits. In fast allen Fällen findet sich eine somatische, aktivierende Mutation der Januskinase 2, JAK2 V617F oder eine funktionell äquivalente Mutation. Diese führt zu einer Hyperproliferation nicht nur der Erythropoiese, sondern auch der Granulopoiese und der Megakaryopoiese. Neben Symptomen der Hyperviskosität sind vor allem arterielle und venöse Thrombosen gehäuft und gefürchtet. Es handelt sich um eine Krankheit des älteren Menschen mit einem mittleren Alter um 60 Jahre, kommt selten aber auch bei jüngeren Erwachsenen vor. Die Inzidenz beträgt ca. 0.8/100'000/Jahr.
Klinisches Bild:
Das erhöhte Erythrozytenvolumen bewirkt eine Hyperviskosität des Blutes. Die typischen Symptome sind Kopfschmerzen, Schwindel, Lethargie, Sehstörungen, Schwitzen, Pruritus (insbesondere nach dem Duschen = aquagener Pruritus) oder Hautrötung des Kopfes (= Plethora). Von Bedeutung ist das erhöhte Risiko für arterielle und venöse Thrombosen. Speziell gefürchtet sind Myocardinfarkte, ischämische zerebrovaskuläre Insulte und venöse Thrombosen im Bereich der Portal-, Mesenterial- und Milzvene. Eine Hyperurikämie aufgrund des erhöhten Zellumsatzes ist häufig und kann zu Gichtanfällen führen. Bei 75% der Patienten besteht eine Splenomegalie. Ungefähr 30% der Patienten entwickeln im Verlauf eine Myelofibrose (post-PV-MF). Im Gegensatz zur chronisch myeloischen Leukämie ist der Übergang in eine akute Leukämie selten.
Pathomechanismus:
Durch die Rolle von JAK2 als Signalmolekül in mehreren Rezeptorsystemen wie dem Erythropoietinrezeptor, dem Thrombopoietinrezeptor (MPL) und dem G-CSF-Rezeptor erklärt sich die Steigerung aller drei myloischer Zellreihen durch die aktivierende Mutation V617F und damit der Phänotyp der Polyzythämia vera. Hingegen ist bis heute unklar, ob die Mutation alleine genügt, um die Krankheit auszulösen. Es wird davon ausgegangen, dass mindestens in einem Teil der Patienten zusätzliche Mutationen der JAK2-Mutation vorausgehen und zur Krankheitsentstehung beitragen.
Therapie:
Die primäre Behandlung besteht aus wiederholten Aderlässen. Der dadurch induzierte Eisenmangel hemmt die Erythropoiese. Weitere Therapieoptionen sind eine Zytoreduktion, meist mit Hydroxyurea (Litalir), sowie Interferon-alpha. In therapierefraktären Fällen kommt der JAK1/2-Hemmer Ruxolitinib (Jakavi) zum Einsatz.
Hämatologie:

Neben einer Erhöhung des Hämoglobins und des Hämatokrits (=Polzythämie) findet sich meist eine Erhöhung der Leukozyten und Thrombozyten. Typischerweise kann auch eine Basophilie oder leichte Eosinophilie vorkommen. Myeloische Vorstufen sind selten, Blasten werden nicht beobachtet. Ein mikrozytär-hypochromes Blutbild erklärt sich durch den geziehlt induzierten Eisenmangel im Rahmen der häufig durchgeführten Aderlasstherapie.
Knochenmark:

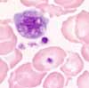
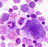
Das Knochenmark ist hyperzellulär mit Steigerung aller drei myeloischen Zellreihen (sogenannte "Panmyelose"). Die Erythropoiese steht im Vordergund, Megakaryopoiese und Granulopoiese sind aber auch vermehrt. Morphologisch ist die Erythro- und Granulopoiese unauffällig. Die Megakaryozyten finden sich oft in lockeren Gruppen, liegen trabekelnah und zeigen einen auffälligen Grössenpleomorphismus mit kleinen Formen und grossen, hyperlobulierten Zellen. Eine Markeosinophilie und -basophilie ist typisch, eine relevante Blastenvermehrung findet sich hingegen in der Regel nicht. In 20% der Fälle besteht eine meist milde Retikulinfibrose.
Diagnose:
Gemäss der WHO 2008-Klassifikation kann eine Polyzythämia vera diagnostiziert werden, falls beide Hauptkriterien und ein Nebenkriterium oder das erste Hauptkriterium und zwei Nebenkriterien erfüllt sind.
Hauptkriterien
Nebenkriterien