Definition:

Die Polyglobulie (Synonyme: Polyzythämie, Erythrozytose) ist definiert durch einen Hämatokrit, bzw. ein Hämoglobin über dem Normbereich. Dabei muss die relative von der absoluten Polyglobulie unterschieden werden. Bei der relativen Polyglobulie (Pseudopolyglobulie) ist die Erythrozytenmasse nicht erhöht. Der erhöhte Hämatokrit-, bzw. Hämogloginwert kommt durch eine Verminderung des Plasmavolumens zustande (z.B. Dehydratation). Bei der absoluten (echten) Polyglobulie ist die Erythrozytenmasse erhöht.
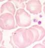
Hämatologie:
Bei schwerer Polyglobulie sind die Erythrozyten dicht gepackt und überlagern sich gegenseitig. Eine milde Polyglobulie ist im Ausstrich nicht sichtbar!
Vorkommen: