Kurzbeschreibung:
Der Morbus Waldenström (Makroglobulinämie Waldenström) gehört zu den lymphoproliferativen Neoplasien. Es handelt sich um ein lymphoplasmozytisches B-Zell-Lymphom mit Sekretion eines IgM-Paraproteins. Morphologisch findet sich eine Infiltration durch kleine Lymphozyten, lymphoplasmozelluläre Elementen und Plasmazellen. Klinisch kommt es bei hohen IgM-Paraproteinwerten zu einem Hyperviskositätssyndrom. Der Morbus Waldenstöm ist selten.
Weniger häufig finden sich lymphoplasmozytische Lymphome vom Typ IgG oder IgA. Bei diesen kommt es nicht zur Hyperviskosität und damit nicht zum Bild der Makroglobulinämie.
Klinisches Bild:
Typisch für den Morbus Waldenström ist das Hyperviskositäts-Syndrom, welches bei hohen IgM-Konzentrationen auftritt. Es äussert sich in Verwirrungszuständen, Schwindel, Sehstörungen und anderen neurologischen Symptomen. Die Therapie besteht in Plasmapheresen sowie einer Chemotherapie.
Lymphoplasmozytische Lymphome befallen meistens das Knochenmark. In 15-30% der Fälle kommt es zur Splenomegalie, Lymphadenopathie und Hepatosplenomegalie. Das Blut kann, muss aber nicht betroffen sein. Das Lymphom zeigt meist einen indolenten, nur langsam progredienten Verlauf. Patienten leiden unter Schwäche, Müdigkeit, Anämie und seltener Thrombozytopenie und Neutropenie. Das IgM-Paraprotein kann zu Kryoglobulinämie, Autoimmunphänomenen und gastrointestinalen Paraprotinablagerungen mit Diarrhoe führen.
Hämatologie:
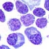
Bedingt durch die Verdrängung der normalen Hämatopoiese durch die lymphoplasmazellulären Elemente kommt es zu Anämie, Thrombozytopenie und Neutropenie verschiedener Ausprägung. Im peripheren Blut kann eine Vermehrung von lymphoplasmozytischen Lymphozyten beobachtet werden.
Knochenmark:

Das Knochenmark ist fast immer befallen. Es findet sich eine noduläre, diffuse oder interstitielle Infiltration durch lymphoplasmozelluläre Elemente. Diese bestehen aus kleinen Lymphozyten, lymphoplasmozellulären Übergangsformen und Plasmazellen. Typisch sind paratrabekuläre Infiltrate. Mastzellen sind oft vermehrt. Gelegentlich finden sich sogenannte "Dutcher-Körperchen", Immunglobulin-enthaltende zytoplsmatische Einschlüsse, die über dem Kern liegen.
Immunphänotypsich charakterisiert sich das Lymphom durch Positivität von CD19, CD20, CD22, CD79a, CD79b, CD27 und FMC7 sowie häufig CD25 und CD38. CD5, CD10, CD103 und CD23 sind meist negativ. Die Plasmazellen exprimieren CD138. Die Mutation L265P des Gens MYD88 findet sich in der grossen Mehrheit der lymphoplasmozytischen Lymphome, aber nur ganz vereinzelt in anderen B-Zell-Lymphomen und kann mittels PCR nachgewiesen werden.