Definition:
Mastzellen sind sogenannte Gewebsbasophile und somit nicht Bestandteil der Granulopoiese. Sie werden dem Retikulum zugeordnet. Sie sind vor allem in den Knochenmarkbröckeln anzutreffen. Sie müssen von den basophilen Granulozyten des Knochenmarks abgegrenzt werden.
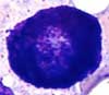
Aussehen:

Die basophilen Granula sind dicht gepackt und lassen darum die Zelle wie einen dunkelvioletten Fleck erscheinen. Der runde Kern wird nur teilweise von den Granula überlagert und erscheint darum als Aufhellung in der Mitte.