Von den normalen Lymphozyten müssen verschiedene Formen morphologisch abnormer Lymphozyten abgegrenzt werden. Dabei handelt es sich entweder um entzündlich-reaktive Formen oder ummaligne Zellen im Rahmen einer reifzelligen lymphatischen Neoplasie. Bisher war problematisch, dass in diesem Bereich keine einheitliche Nomenklatur verwendet wurde. So wurde der Begriff "atypischer Lymphozyt" zum Teil im Sinne von entzündlich veränderter Zelle, zum Teil aber auch generell für morphologisch auffällige Lymphozyten verwendet.
Eine Deutsche Expertengruppe (Arbeitskreis Laboratorium der DGHO) schlug 2011 eine neue, einheitliche Nomenklatur vor, die in einem ersten Schritt normale Lymphozyten von morphologisch abnormen atypischen Lymphozyten unterscheidet. Falls zytologisch möglich, sollen die abnormen Zellen in einem zweiten Schritt in "atypische Lymphozyten, vermutlich reaktiv" (reaktiv veränderte atypische Lymphozyten) und "atypische Lymphozyten, vermutlich neoplastisch" (neoplasieverdächtige atypische Lymphozyten / Lymphomzellen) eingeteilt werden.
Synonyme:
Lymphatische Reizformen; Virozyten; Atypische Lymphozyten, vermutlich reaktiv
Aussehen:

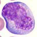
Reaktiv veränderte atypische Lymphozyten können in Grösse, Form und Gestalt stark variieren. Sie sind grösser als normale Lymphozyten und haben ein verbreitertes, hell- bis dunkelbasophiles Zytoplasma, welches entlang der Zellmeembran intensiver gefärbt ist. Zudem können Vakuolen und Azurgranula vorhanden sein. Der Kern ist oft nierenförmig gebuchtet. Das Chromatin ist feiner als bei kleinen Lymphozyten und weist häufig einen bis mehrere Nukleolen auf. Morphologisch stehen diese Zellen zwischen Lymphozyten und Plasmazellen. Sie lassen sich darum auch nicht immer eindeutig zuordnen und werden von Ungeübten oft mit leukämischen Blasten verwechselt. Für solche ist ihr Chromatin aber zu wenig fein und das Gesamtbild zu polymorph. Bei den reaktiv veränderten Lymphozyten kann es sich sowohl um T- als auch B-Lymphozyten handeln.
Reaktive Veränderungen von Lymphozyten können unterschiedlich stark ausgeprägt sein. Sind sie mild, spricht man von lymphatischen Reizformen. Liegt das Vollbild vor und ist die Assoziation mit einem viralen Infekt offensichtlich, spricht man auch von Virozyten.
Vorkommen:
Synonyme:
Lymphomzellen; Atypische Lymphozyten, wahrscheinlich neoplastisch
Definition:
Bei allen morphologisch veränderten Lymphozyten im peripheren Blut, die nicht den Standardlymphozyten, den large granula lymphocytes (LGL) oder reaktiv veränderten atypischen Lymphozyten zugeordnet werden können, besteht immer der Verdacht auf eine reifzellige lymphatische Neoplasie (= Ausschwemmung von Lymphomzellen). Das Erscheinungsbild solcher Zellen kann sehr unterschiedlich sein. Nicht immer können sie eindeutig einer Krankheitsentität zugeordnet werden. Nicht selten finden sich nur vereinzelte neoplasieverdächtige Zellen auf dem Hintergrund einer mehrheitlich normalen Lymphozytenpopulation.
Aussehen reifzelliger B-Zell- und T-Zell-Neoplasien im peripheren Blut: