Kurzbeschreibung:
Die Mononucleosis infectiosa, auch Pfeiffer'sches Drüsenfieber genannt, ist eine akute, durch das Epstein-Barr-Virus (EBV) hervorgerufene Infektionskrankheit mit Fieber, Angina, Lymphadenopathie und Splenomegalie sowie einer Leukozytose durch atypische mononukleäre Zellen. Meist sind junge Erwachsene betroffen. Die Tatsache, dass das Virus mit dem Speichel übertragen wird, hat ihm auch den Namen "kissing disease" eingetragen.
Klinisches Bild:
Die Inkubationszeit ist nicht genau bekannt, kann aber 5-8 Wochen betragen. Nach einem Prodromalstadium mit Malaisegefühl treten nach ein paar Tagen Fieber, Pharyngitis und eine symmetrische Lymphadenopathie auf. Eine Splenomegalie ist meist vorhanden. Vereinzelt kommen schwere, z.T. letal verlaufende Fälle mit Enzephalitis vor. Die Symptome bilden sich in der Regel nach 1-3 Wochen zurück. Falls Amoxicillin zur Behandlung der Angina eingesetzt wird, kommt es obligat zu einem makulo-papulösem Exanthem. Die Gabe von Amoxicillin bei Mononukleose entspricht darum einem Kunstfehler. Die definitive Diagnose wird serologisch (anti-EBV IgM+) und mittels EBV-PCR gestellt.
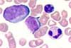
Hämatologie:

Im Allgemeinen besteht eine mässiggradige Leukozytose von 12-18x109/L. Die Leukozytenzahl kann aber auch normal oder erniedrigt sein. Der Anstieg geht primär auf atypische mononukleäre Zellen zurück. Es handelt sich dabei um zytotoxische T-Lymphozyten. Morphologisch werden diese als reaktiv veränderte atypische Lymphozyten klassiert. Eine Thrombozytopenie kann vorkommen. Eine Anämie ist selten und meistens hämolytischen Ursprungs. Ähnliche Blutbildveränderungen treten auch bei Zytomegalie, Toxoplasmose und akutem HIV-Infekt auf.