Kurzbeschreibung:
Bei der autoimmunhämolytischen Anämie handelt es sich um eine erworbene Krankheit, die auf die Bildung von antierythrozytären Autoantikörpern zurückzuführen ist. Die Autoantikörper beschleunigen den Abbau der Erythrozyten. Man unterscheidet Wärme-Autoantikörper vom Typ IgG und Kälte-Autoantikörper, meist vom Typ IgM. IgG-beladene Erythrozyten werden vorwiegend in der Milz und der Leber abgebaut. IgM-Autoantikörper agglutinieren Erythrozyten bereits bei tiefen Temperaturen, fixieren Komplement auf den Erythrozytenoberfläche und induzieren dadurch intravaskuläre Hämolyse. C3b-opsonisierte Erythrozyten werden zudem auch in der Milz und in der Leber abgebaut.
Klinisches Bild:
Die autoimmunhämolytischen Anämie vom Wärmetyp ist die häufigere Form. Rund die Hälfte der Fälle ist idiopathisch, während die andere Hälfte sekundär bei reifzelligen lymphatischen Neoplasien (z.B. chronischer lymphatischer Leukämie), Infektionen (z.B. HIV), Kollagenosen oder Medikamenten auftritt. Die Antikörper lassen sich meist nicht spezifizieren und richten sich gegen Membranantigene, die auf allen Erythrozyten vorkommen. Bei schweren Formen bestehen Anämie-Symptome. Eine Splenomegalie liegt häufig vor. Die Hämolyse führt zur Erhöhung des unkonjugierten Bilirubins, was sich z.T. auch als Ikterus äussert. Die Erhöhung der Lactatdehydrogenase (LDH) ist ein guter Gradmesser der zerstörten Zellmasse, d.h. der hämolytischen Aktivität. Der direkte Antiglobulintest (DAT = Coombs-Test) ist positiv. Das Haptoglobin ist stark erniedrigt und liegt meist unterhalb der Detektionsgrenze des Tests (siehe Hämolyseparameter).
Die seltenere autoimmunhämolytischen Anämie vom Kältetyp wird in der Regel durch IgM-Autoantikörper verursacht, die oft eine Anti-I-Spezifität aufweisen. Sie agglutinieren die Erythrozyten im kühleren Blut, weshalb es zu Akrozyanose, Raynaud-Phänomen und sogar Ulzerationen kommen kann. Im Winter sind die Symptome meist ausgeprägter. Oft lässt sich keine Ursache finden (idiopathisch). Häufig ist aber auch die Assoziation mit reifzelligen lymphatischen Neoplasien und Infektionen (z.B. Mykoplasmen, Mononukleose, HIV-Infekt).
Hämatologie:

In der Regel ist die autoimmunhämolytische Anämie normochrom-normozytär. Ist der Anteil der Retikulozyten jedoch hoch, besteht auch eine makrozytäre Komponente sowie eine Polychromasie. Im Blutbild imponieren eine Anisozytose und Mikrosphärozyten. Die kompensatorisch gesteigerte Erythropoiese lässt sich an der erhöhten Retikulozytenzahl ablesen. Beim Vorliegen von antierythrozytären Autoantikörpern vom Kältetyp könne Agglutinate auftreten, die oft auch die automatische Blutbildmessung (falsch-hohes MCHC) stören.
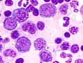
Knochenmark:

Im Knochenmark findet sich eine gesteigerte Erythropoiese. Ansonsten ist die Knochenmarkzytologie in der Regel unauffällig. Eine Knochenmarkspunktion muss durchgeführt werden, um auslösende Ursachen (insbesondere reifzellige lymphatische Neoplasien) auszuschliessen.