Kurzbeschreibung:
Die chronische lymphatische Leukämie (CLL) ist ein CD5-positives, peripher ausschwemmendes B-Zell-Lymphom und gehört zum Formenkreis der reifzelligen lymphatischen Neoplasien. Charakterisch ist eine oft sehr ausgeprägte Lymphozytose mit mehrheitlich kleinen Lymphozyten. Die CLL tritt schwergewichtig im höheren Alter auf und kommt nur selten unter 40 Jahren vor. Sie macht 25% aller Leukämien aus. Oft wird die Diagnose zufällig im Blutbild festgestellt. Es bestehen dann meist noch keine Beschwerden. Der Verlauf ist langsam progredient. Eine Therapie ist nur beim Auftreten von Symptomen indiziert.
Klinisches Bild:
Die Krankheit verläuft oft lange asymptomatisch. Symmetrische Lymphknotenschwellungen und Splenomegalie sind häufig. Der Grad der Anämie und Thrombozytopenie ist von zentraler prognostischer Bedeutung. Nach Jahren kommt es durch Knochenmarksverdrängung zum Zusammenbruch der Hämopoiese, was unbehandelt schliesslich zum Tode führen würde. Bis heute kann man die Krankheit nicht medikamentös heilen. Deshalb wird eine Therapie erst begonnen, wenn die Krankheit zu Symptomen oder Beschwerden führt. Die Therapie beruht auf Kombinationen mit Alkylantien, Purinanaloga und anti-CD20-Antikörpern. In neuester Zeit werden neue, geziehlte Therapien mit oralen B-Zell-Rezeptor-Signalweg-Hemmern und bcl-2-Hemmern entwickelt und versprechen eine deutliche Verbesserung der Ansprechrate. Medikamentös kann meist ein rasches Verschwinden der Lymphozytose und der Lymphome mit Normalisierung der Zytopenien erreicht werden, was unterschiedlich mehrere Monate bis viele Jahre anhält. Trotzdem kommt es als Regel früher oder später fast immer zum Rezidiv. Als einzige therapeutische Option verspricht die allogene Stammzelltransplantation bei ausgewählten, jungen Patienten eine anhaltende Heilung. Eine Hypogammaglobulinämie ist eine typische Komplikation der CLL und führt zu vermehrten respiratorischen Infekten. Weitere typische Begleiterkrankungen der CLL sind eine Autoimmunhämolyse oder eine Immunthrombozytopenie.
Das kleinzellig-lymphozytische Lymphom ist die nichtleukämische Variante der CLL.
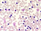
Hämatologie:

Die CLL ist charakterisiert durch eine persistierende, absolute Vermehrung kleiner, reifer Lymphozyten im peripheren Blut. Die Zellen zeigen oft ein grobschollig marmoriertes Kernchromatin, sind im übrigen aber zytologisch normal. Die Lymphozytenzahl kann Werte über 200-300 x 109/L erreichen. Lädierte Lymphozyten im Blutausstrich, sogenannte Gumprecht'sche Schollen, sind typisch für die CLL. Anämie und Thrombozytopenie sind meist Zeichen zunehmender Knochenmarksverdrängung.
Knochenmark:

Eine Knochenmarkinfiltration durch kleine, reife Lymphozyten ist die Regel. Der Infiltrationsgrad kann von einer leichtgradigen Vermehrung bis zu nahezu 100% betragen. Die normale Hämatopoiese ist dementsprechend mehr oder weniger stark verdrängt. Da die Diagnose in der Regel auf einer durchflusszytometrischen Immunphänotypisierung des peripheren Blutes basiert, ist eine Knochenmarkspunktion zur Diagnosesicherung meist nicht notwendig. Eine Knochenmarksuntersuchung wird jedoch in der Regel vor Therapiebeginn durchgeführt.
Diagnose:
Gemäss WHO 2008 kann die Diagnose einer CLL durch das Vorliegen von mindestens 5 x 109/L klonalen B-Zellen mit Nachweis des typischen CLL-Immunphänotyps gestellt werden.
Der Immunphänytop des CLL ist sehr charakteristisch und erlaubt in den allermeisten Fällen eine sichere Abgrenzung von anderen peripher ausschwemmenden B-Zell-Lymphomen. CLL-Zellen sind positiv für CD19, CD5 und CD43. Im Gegensatz zu Wildtyp-B-Zellen und vielen anderen B-Zell-Lymphomen sind CD20, CD22, CD79b, CD81 und oberflächliche Immunglobuline abgeschwächt oder ganz negativ. FMC7 fehlt typischerweise ganz. Die starke Expression von CD200 erlaubt die Abgrenzung vom ebenfalls CD5-positiven, in der Regel CD200-negativen Mantelzelllymphom.