Kurzbeschreibung:
Das multiple Myelom gehört gemäss WHO 2008 zu den reifzelligen B-Zell-Neoplasien. Pathogenetisch liegt eine maligne Proliferation von Plasmazellen im Knochenmark vor. Bei der seltenen Ausschwemmung von malignen Plasmazellen ins periphere Blut spricht man auch von Plasmazell-Leukämie. Die malignen Plasmazellen sezernieren meist ein monoklonales Immunglobulin oder Immunglobulin-Fragment, ein sogenanntes "Paraprotein". Dieses ist am häufigsten vom Typ IgG- und seltener vom Typ IgA oder vom Leichtkettentyp. IgD,- IgE- oder IgM-Myelome sind Raritäten. Bei 10% der Fälle werden freie leichte Ketten mit dem Urin ausgeschieden (Bence-Jones-Proteine). Typischerweise kommt es zu umschriebenen oder diffusen Osteolysen. Das multiple Myelom macht rund 10-15% aller hämatologischen Malignome aus. Mit einem Durchschnittsalter um 70 Jahre ist es eine Krankheit des älteren Menschen. 90% der Patienten sind älter als 50 Jahre. Unter 40 Jahre ist die Krankehit eine Rarität.
Eine Vorstufe zum Multiple Myelom kann eine monoklonale Gammopathie unklarer Signifikanz (MGUS) sein
Klinisches Bild:
Zwei Drittel der Patienten klagen über Knochenschmerzen, typischerweise im Rücken- und Brustbereich. Bei Diagnosestellung lassen sich mittels Röntgen in 70% der Fälle Osteolysen nachweisen. In fortgeschrittenen Stadien kann es zu pathologischen Frakturen kommen. Die Verdrängung der Hämatopoiese im Knochenmark bewirkt Anämiesymptome und eine thrombozytopenie-bedingte Blutungsneigung. Eine Infektneigung ist primär durch eine Verminderung normaler Immunglobuline zu erklären. Ein Nierenversagen ist meist durch Ablagerung von leichten Ketten in den Tubuli bedingt. Als weitere Ursachen der Verschlechterung der Nierenfunktion kommen eine Hyperkalzämie-bedingte Dehydratation und Amyloid in Frage.
Hämatologie:

Im Rahmen der Paraproteinämie kommt es zur Geldrollenbildung der Erythrozyten und einer stark erhöhten Blutsenkungsreaktion. Im Ausstrich kann es zur Geldrollenbildung der Erythrozyten kommen. Meist liegt eine normochrome-normozytäre Anämie vor. Das Ausmass der Thrombozyto- und Neutropenie wiederspiegeln meist das Ausmass der Knochenmarkinfiltration. In seltenen Fällen kommt es zur Ausschwemmung von Plasmazellen ins periphere Blut. Man spricht dann von einer Plasmazell-Leukämie.
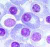
Knochenmark:

Die Knochenmarkuntersuchung ist zusammen mit der Eiweisselektrophorese (M-Gradient) und der Radiologie (Osteolysen) einer der Eckpfeiler zur Diagnose des Multiplen Myeloms. Der Infiltrationsgrad kann wenige Prozent bis >90% betragen. Die Plasmazellen k&oouml;nnen einen wenig auffälligen, reifzelligen Aspekt aufweisen oder unreif imponieren mit grosser Kern-Zytoplasma-Ratio, feinem Kernchromatin und Nukleolen. In der Immunphänotypisierung sind Plasmazellen positiv fär CD38 und CD138 mit Expression zytoplasmatischer, aber nicht oberflächlicher Immunglobuline. Im Gegensatz zu Wildtyp-Plasmazellen sind neoplastische Plasmazellen meist negativ fär CD19, oft positiv fär CD56 und gelegentlich positiv fär CD117, CD20, CD10 und CD28 sowie gelegentlich negativ fär CD27.
Eine Sonderform mit lymphoplasmozytischem Aspekt der Plasmazellen exprimiert typischerweise Cyclin D1 und weist die Translokation (11;14) auf.

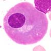
Ab und zu findet man in den Plasmazellen runde Einschlüsse, die sogenannten Russel-bodies. Diese enthalten klonales Immunglobulin. Sie können auch bei reaktiven Prozessen mit intensiver Immunglobulinproduktion auftreten. Sind die Zellen mit Russel-Körperchen vollgepackt, spricht man von Mott-Zellen. Einschlusskörper äber dem Kern nennt man Dutcher-Körperchen. Auch sie enthalten klonales Immunglobulin.

Diagnose:
Gemäss WHO 2008 kann ein symptomatisches multiples Myelom diagnostiziert werden, wenn im Blut ein Paraprotein und im Knochenmark klonale Plasmazellen nachgewiesen werden können und gleichzeitig eine Organbeeinträchtigung durch das Myelom vorliegt. Man spricht von den sogenannten CRAB-Kriterien (Hypercalcämie, Niereninsuffizienz (renal), Anämie, Knochenläsionen (bone)). Paraproteinämie und Plasmazellinfiltration im Knochenmark sind nicht an eine untere Limite gebunden.
Ein asymptomatisches multiples Myelom liegt vor, wenn eine Paraproteinämie >30 g/L oder eine Plasmazellinfiltration >10% nachgewiesen wurden, aber keine Organsymptome vorliegen (CRAB-Kriterien negativ).
Eine Plasmazellleukämie liegt vor, wenn im peripheren Blut >20% oder > 2.0x109/L klonale Plasmazellen nachgewiesen werden können.