Definition:
Der segmentkernige Neutrophile entspricht der letzten Reifungsstufe der Granulopoiese. In dieser Form treten die meisten Neutrophilen ins periphere Blut über. Sie machen rund 7 - 25% der kernhaltigen Knochenmarkzellen aus (Myelogramm).
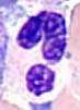
Aussehen:

Die segmentkernigen Neutrophilen des Knochenmarks unterscheiden sich morphologisch nicht von denjenigen des peripheren Blutes. Der Kern besitzt mindestens eine fadenförmige Einschnürung (Abgrenzung gegenüber stabkernigen Neutrophilen).