Kurzbeschreibung:
Seltene, autosomal-dominant vererbte Anomalie mit basophilen RNA-Kondensaten im Zytoplasma der neutrophilen Granulozyten (Pseudo-Döhle-Körper) sowie Thrombozytopenie mit Riesenplättchen.
Klinisches Bild:
Meist sind die Betroffenen asymptomatisch. Bei einer Untergruppe besteht eine hämorrhagische Diathese.
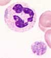
Hämatologie:

Charakteristisch sind Riesenplättchen und eine Thrombozytopenie. Im Zytoplasma der Granulozyten und weniger gut erkennbar in den Monozyten und eosinophilen Granulozyten finden sich helle, schmutzig-blaue Einschlüsse.