Definition
Die Myeloblasten sind die erste lichtmikroskopisch eindeutig erfassbare Reifungsstufe der Myelopoiese. Sie machen 0.1-3.5% der kernhaltigen Knochenmarkzellen aus (Melogram).
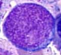
Aussehen:

Myeloblasten haben einen Kern mit sehr feinem Chromatin und mehreren deutlichen Nukleolen. Das Zytoplasma ist schmal, ungranuliert und basophil. Meist ist eine perinukleäre Aufhellung sichtbar, die dem Golgi-Apparat entspricht. Ihr Durchmesser beträgt rund 15-16 µm.