Allgemeines:
Bei der Knochenmarkbiopsie handelt es sich um ein histologisches Präparat. Dies im Gegensatz zum Knochenmarkausstrich, der ein zytologisches Präparat ist. Bei histologischen Präparaten ist die Gewebsstruktur (Gefässe, Fasern, Knochenbälkchen) erhalten. Dafür sind die zytologischen Merkmale der Zellen weniger präzis zu erkennen. Diese lassen sich darum auch nicht immer eindeutig zuordnen.
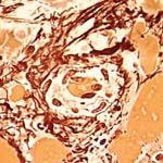
Knochenmarkschnitte können mit Hämatoxilin-Eosin und Giemsa gefärbt werden. Eine weitere verwendete Färbung ist die Chlorazetat-Esterase (siehe untenstehendes Bild), bei der sich die Zellen der Granulopoiese rot anfärben.
Indikation:

Eine Knochenmarkbiopsie sollte immer im Anschluss an eine Knochenmarkaspiration durchgeführt werden. In der Knochenmarkbiopsie lässt sich die Zellularität besser feststellen als im Knochenmarkausstrich. Weiter lassen sich infiltrative Erkrankungen wie Metastasen, granulomatöse oder Reifzellige lymphatische Neoplasien besser erkennen. Im Parafin-fixierten Material lassen sich die Zelltypen immunhistohemisch genauer zuordnen.
Fasergehalt:

Zur Bestimmung des Fasergehalts, genauer des Retikulinfasergehalts, werden die Knochenmarkschnitten mittels Silbernitratfärbung nach Gömöri gefärbt. Eine mehr oder weniger ausgeprägte Erhöhung des Fasergehalts findet sich bei den myeloproliferativen Neoplasien (MPN), ganz besonders bei der primären Myelofibrose.