Kurzbeschreibung:
Mit der PAS-Färbung werden Polysaccharide nachgewiesen. Das wichtigste Polysaccharid ist Glykogen. Aber auch Mukopolysaccharide werden angefärbt.
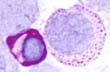
Beurteilung:

Polysaccharide färben sich burgunderrot an. Je nach Zelltyp ist die Färbung diffus oder granulär. Konfluiert die positive Granula zu grösseren gefärbten Flächen, spricht man von Blockpositivität. Bei den Zellen der Granulopoiese nimmt die Reaktion von den Promyelozyten an zu und ist bei den segmentkernigen Neutrophilen am stärksten. Stark positiv sind auch die Megakaryozyten. Eine positive Färnung findet sich bei Eosinophilen und Basophilen, eine grenzwertige Färbung bei Monozyten, Makrophagen, Plasmazellen und Osteoblasten. Normale erythropoietische Zellen sind strikt negativ. Auch Lymphozyten sind mehrheitlich negativ.
Die akuten lymphatischen Leukämien sind mehrheitlich stark positiv, entweder granulär oder mit Blockpositivität. Myelo- und monoblastäre Leukämien sind in der Regel negativ bis schwach positiv. Bei myelodysplastischen Syndromen finden sich gelegentlich diffus oder granulär positive Normoblasten. Akute Erythroleukämien können stark positiv sein, entweder mit diffuser Färbung oder mit Blockpositivität. PAS-positive Normoblasten findet sich auch bei gestörter Erythropoiese wie Thalassämia major, Eisenmangel oder schwerer hämolytischer Anämie.
Indikation:
Durch neuere Methoden wie durchflusszytometrische Immunphänotypisierung und Immunhistochemie hat die PAS-Färbung stark an Bedeutung verloren. Sie wird gelegentlich noch bei Verdacht auf akute Erythroleukämie oder myelodysplastisches Syndrom verlangt.