Kurzbeschreibung:
Die Mastozytosen beruhen auf einer klonalen, neoplastischen Proliferationen der Mastzellen und werden von der WHO 2008-Klassifikation den myeloproliferativen Neoplasien (MPN) zugeordnet. Mastozytosen können nur die Haut betreffen (kutane Mastozytose) oder systemisch verlaufen und verschiedene Organsysteme beeinträchtigen (systemische Mastozytose). Während mit Ausnahme der sehr seltenen Mastzellleukämie das Blut nie betroffen ist, liegt fast immer ein Knochenmarksbefall vor. Die Diagnose beruht auf dichten Klustern aus atypischen, oft spindelförmigen Mastzellen. Die Mastozytosen müssen von der reaktiven Mastzellhyperplasie abgegrenzt werden, bei welchen die typischen Mastzellkluster fehlen.
Klinisches Bild:
Während bei der kutanen Form nur die Haut betroffen ist (Urtikaria, Pruritus), sind bei den systemischen Mastozytosen neben dem Knochenmark oft auch weitere Organe befallen. Patienten leiden unter Allgemeinsymptomen (Müdigkeit, Gewichtsverlust, Fieber), Hautsymptomen (Urtikaria, Pruritus), Beschwerden assoziiert mit Mastzell-Degranulation (Bauchschmerzen, Unwohlsein, Durchfall, Kopfschmerzen, Hypotonie, Tachykardie, Atembeschwerden) und Knochenbeschwerden (Knochenschmerzen, Osteopenie).
Hämatologie:
Mit Ausnahme der "systemischen Mastozytose mit assoziierter, klonaler, hämatologischer Nichtmastzellerkrankung (SM-AHNMD)" und der sehr seltenen Mastzelleukämie ist das Blut in der Regel unauffällig.
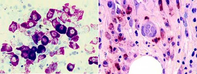
Knochenmark:
Bei den meisten Formen der systemischen Mastozytose finden sich im Knochenmark multiple, scharf begrenzte Infiltrate aus Mastzellen. Häufig liegen diese Infiltrate paratrabekulär oder perivaskulär. Die Infiltrate bestehen ausser aus Mastzellen in unterschiedlichem Mass aus Lymphozyten, Eosinophilen und Fibroblasten.
Bei der "systemischen Mastozytose mit assoziierter, klonaler, hämatologischer Nichtmastzellerkrankung (SM-AHNMD)" finden sich im Knochenmark neben den Zeichen der Mastozytose auch Hinweise auf eine zusätzlich klonale, hämatologische Krankheit. Es kann sich z.B. um myelodysplastische Syndrome, myeloproliferative Neoplasien, akute myeloische Leukämien oder reifzellige lymphatische Neoplasien handeln.
