Kurzbeschreibung:
Vitamin-B12 und Folsäure sind essentiel für die DNA-Synthese. Besteht ein Mangel dieser Vitamine, kann es zum Auftreten einer megaloblastären Anämie kommen. Da die RNA-Synthese nicht betroffen ist, kommt es zu einer Entwicklungsdiskrepanz zwischen Kern und Zytoplasma, d.h. zu einer verzögerten Kernreifung. Dies führt sowohl zu ineffektiver Erythropoiese (vorzeitiger Zelltod der erythropoietischen Vorstufen) als auch zur Ausschwemmung makrozytärer Erythrozyten mit verkürzter Überlebenszeit. Die Granulo- und Megakaryopoiese sind ebenfalls betroffen, jedoch meist in geringerem Ausmass. Ursächlich kommen beim Vitamin-B12-Mangel unter anderem ein Mangel an Intrinsic-Faktor bei atrophischer Gastritis (Anti-Parietalzell-Autoantikörper und Anti-Intrinsic-Faktor-Autoantikörper = perniziöse Anämie) oder nach Gastrektomie, eine Malabsorption sowie mangelhafte Zufuhr bei extrem vegetarischer Ernährung in Frage. Beim Folsäure-Mangel stehen ein erhöhter Bedarf (Schwangerschaft, Hämolyse), Malabsorption und folsäurearme Ernährung ursächlich im Vordergrund.
Klinisches Bild:
Es bestehen die typischen Symptome einer Anämie. Zudem können bei Vitamin-B12-Mangel eine schmerzhafte Glossitis und Mundwinkelrhagaden auftreten. Eine andere Manifestationsform des Vitamin-B12-Mangels ist die funikuläre Myelose. Sie führt aufgrund von Myelinisierungsstörungen zuerst der Hinterstränge und dann der Pyramidenbahnen im Rückenmark zu Gangataxie bei gestörter Tiefensensibilität.
Hämatologie:

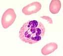
Meist besteht eine ausgeprägte, makrozytär-hyperchrome Anämie (MCV und MCH erhöht, MCHC normal). Das MCV beträgt meist >100 fl. Zudem besteht oft eine Leuko- und Thrombozytopenie. Das periphere Blutbild ist charakterisiert durch eine ausgeprägte Aniso- und Poikilozytose mit grossen, oft ovalen Erythrozyten (Megalozyten). Hyersegmentierte Neutrophile sind pathognomonisch für einen Vitamin B12- oder Folsäuremangel. Eine leichte Hyperbilirubinämie sowie eine sehr starke erhöhte LDH sind Ausdruck der intramedullären Hämolyse (ineffektive Hämatopoiese). Die definitive Diagnose erfolgt mittels Bestimmung des Serum-Vitamin B12, resp. des Holotranscobalamins und der Folsäure im Serum oder im Erythrozyten. Bei Nachweis eines Vitamin B12- oder Folsäuremangels muss immer dessen Ursache eruiert werden!
Knochenmark:

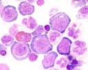
Das Knochenmark ist bei der megaloblastären Anämie hyperzellulär. Je nach Fall ist entweder die Erythropoiese oder die Granulopoiese stärker gesteigert. Typisch ist eine Reifungsdiskrepanz zwischen Kern und Zytoplasma, wobei der Kern in der Entwicklung zurückbleibt. Die Ausreifung der erythroiden, granulopoietischen und megakaryozytären Zellen ist gestört (ineffektive Hämatopoiese). Dadurch kommt es zu einer Linksverschiebung mit Überwiegen der unreifen Vorstufen. Bei der Erythropoiese finden sich hauptsächlich sehr grosse, blastär imponierende Proerythroblasten mit tiefbasophilem Zytoplasma, perinukleärer Aufhellung, lockerem Kernchromation und Nucleolen. Die Kerne weisen oft Absprengungen oder Mitoseformen auf. Bei der Granulopoiese imponieren riesige Metamyelozyten und stabkernige Neutrophile mit plumpen Kernen und lockerem Chromatin. Die Kerne der Magakaryozyten sind oft hyperlobuliert oder in Einzelfragmente separiert.
Bei eindeutig im Blut nachgewiesenem Vitamin B12- oder Folsäuremangel ist keine Knochenmarkuntersuchung notwendig! Eine solche muss aber zwingend nachgeholt werden, falls sich nach adäquater Vitamin B12- und Folsäuresubstitution die Blutbildveränderungen nIcht normalisieren. In diesem Fall muss differentialdiagnostisch insbesonder eine myelodysplastisches Syndrom in Betracht gezogen werden.